1. Home
  2. »
  3. الاخطاء الطبية – احتشاء الدماغ الذي تسبب في الشلل

الاخطاء الطبية – احتشاء الدماغ الذي تسبب في الشلل

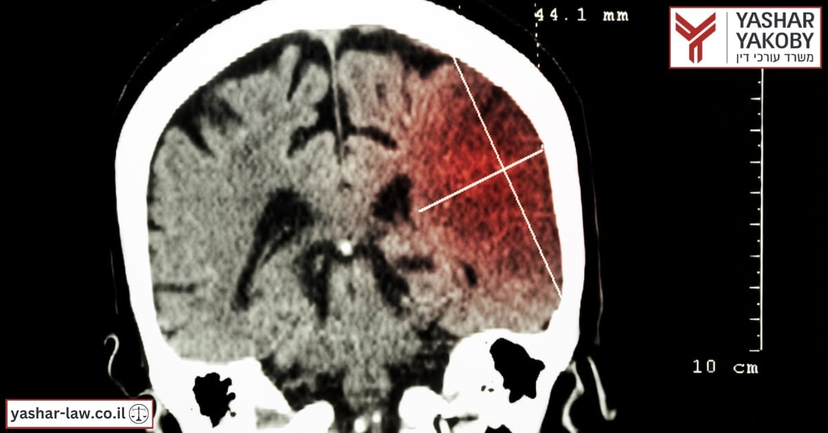
احتشاء الدماغ هو السبب الرئيسي للوفاة في سن الشيخوخة. يحدث احتشاء الدماغ بسبب جلطة دموية تسد الأوعية الدموية وتتسبب في موت خلايا الدماغ في منطقة الانسداد. ينقسم الخطأ الطبي فيما يتعلق باحتشاء الدماغ المؤدي إلى الشلل إلى نوعين من الخطأ. الخطأ الأول هو عدم العلاج الذي يؤدي إلى تكون جلطات الدم، والخطأ الثاني هو عدم التشخيص في الوقت المناسب لأن الشخص يكون في حالة احتشاء دماغي حتى يحدث ضرر لا رجعة فيه بما في ذلك الشلل. سنشرح في هذا المقال ما هو الخطأ الطبي فيما يتعلق باحتشاء الدماغ الذي أدى إلى الشلل وما يمكن فعله حيال ذلك.

الاحتشاء الدماغي هو حالة تقوم فيها جلطة دموية بسد الأوعية الدموية التي تغذي خلايا الدماغ. قد تكون هناك حالة من الانسداد الجزئي تؤدي إلى إبطاء معدل الدم وتجويع الخلايا، أو حالة شديدة من الانسداد الكامل تؤدي إلى موت الخلايا بشكل شبه فوري (في غضون أربع إلى ست دقائق) وتؤدي في الواقع إلى السكتة الدماغية. يمكن أن تكون السكتة الدماغية خفيفة وتتجلى في الصداع، والدوخة، وفقدان التوجه والارتباك، ويمكن أيضًا أن تكون شديدة مسببة نزيف داخل المخ، وفقدان الوعي، والشلل، والغيبوبة، والموت. يمكن الوقاية من السكتة الدماغية عن طريق منع أسباب جلطات الدم، مثل: إعطاء أدوية تسييل الدم والحفاظ على نمط حياة صحي. أمراض مثل: مرض السكري وارتفاع ضغط الدم وأمراض القلب وبعض الأمراض الوراثية يمكن أن تكون عوامل خطر للسكتة الدماغية. إذا وقع الشخص في حالة احتشاء دماغي، فإن علاماته هي في الواقع علامات السكتة الدماغية التي سببها، لذلك يجب الحذر والتفاعل فور ظهور العلامات النموذجية الأولى.

بحاجة إلى استشارة قانونية؟ اتركوا التفاصيل وسنعود إليكم في أقرب وقت

 

ما هي السكتة الدماغية؟

السكتة الدماغية هي حدث تبدأ فيه خلايا الدماغ بالموت بسبب نقص إمدادات الأكسجين الناجم عن احتشاء دماغي، أي انسدادها بسبب جلطة دموية. علماً أن الصداع الذي يميز السكتة الدماغية لن يظهر دائماً، ومن الممكن أيضاً أن يشعر الشخص بأعراض السكتة الدماغية لبضع دقائق ثم يعود إلى الخط الصحي. وحتى في مثل هذه المواقف يجب طلب المساعدة فوراً، حتى لو أصر الشخص على أنه يشعر بالارتياح بعد الحادثة، وهذا بسبب تطور حالات طبية مختلفة قد تحدث بسرعة وتسبب أضراراً كبيرة إذا لم يتم علاجها في الوقت المناسب. فيما يلي الأعراض النموذجية للسكتة الدماغية:

  • ضعف أو تنميل في أحد جانبي الجسم.
  • الارتباك أو صعوبة التحدث أو الفهم.
  • اضطراب مفاجئ في التوازن
  • اضطراب بصري مفاجئ (واحدة أو كلتا العينين)
  • الصداع الحاد
  • الإغماء أو عدم وضوح الوعي

 

الضرر بعد السكتة الدماغية بعد احتشاء الدماغ

يمكن أن يكون الضرر بعد السكتة الدماغية كئيبًا للغاية، بدءًا من انخفاض القدرات الإدراكية لدى الشخص، وضعف كبير في التنسيق، وصعوبات في السمع أو الرؤية أو المشي أو التحدث، بالإضافة إلى صعوبات في الشفاه (على سبيل المثال، لا يتمكن الشخص فجأة من الحركة). تذكر كيف تقول كلمة معينة أو فجأة لا تفهمها) والصعوبات أكثر من ذلك بكثير. ومن الخصائص الصعبة، ولكنها شائعة أيضًا للأسف، شلل نصف الجسم. يضعف هذا الشلل بشدة قدرة الشخص على عيش حياة مستقلة وأداء أنشطة ADL مثل الاستلقاء والوقوف، وتناول الطعام والشرب، والتحرك، والاستحمام، والتحكم في التقويم، وخلع الملابس وارتداء الملابس، مما يؤدي إلى التمريض أو ما قبل التمريض الوضع يعتمد على مستوى الشلل وعواقبه.

 

احتشاء دماغي بسبب الأخطاء الطبية أدى إلى الشلل

عند الحضور لفحص الخطأ الطبي واحتشاء الدماغ الذي أدى إلى الشلل، يجب أن يطرح السؤال الأول، كيف وصل الإنسان إلى درجة تعرضه لمثل هذه السكتة الدماغية الشديدة التي أدت إلى الشلل؟ هل تم اتخاذ جميع الاحتياطات اللازمة للوقاية من السكتة الدماغية، مثل تناول مميعات الدم، أو التوصيات بالتوقف عن التدخين، أو اتباع نمط حياة متوازن وصحي، أو علاج أمراض القلب أو السكري أو ضغط الدم التي يعاني منها الشخص؟ هل قامت الفرق الطبية التي كان الشخص تحت إشرافها بالتشخيص الصحيح وفي الوقت الحقيقي لإصابة الشخص بالسكتة الدماغية والتحرك السريع لعلاجه؟ هل وصلت قوى النجاح في فترة زمنية معقولة واتخذت الإجراءات المعقولة والصحيحة لعلاج الشخص؟ بالطبع، هناك أهمية أكبر لهذه الأسئلة إذا كان الشخص قد دخل المستشفى في دار رعاية أو دار رعاية أو مستشفى في وقت الإصابة بالسكتة الدماغية.

 

רשלנות רפואית אוטם מוח שגרם לשיתוק

كيف يمكن للمحامي مساعدتك في قضية الخطأ الطبي واحتشاء الدماغ الذي أدى إلى الشلل؟

إذا كنت تشك في أنك أو أحبائك قد تعرضت للإصابة نتيجة لخطأ طبي، أو احتشاء دماغي تسبب في الشلل على مستوى أو آخر، فمن المهم أن تتصل بمهني ماهر مثل محامي الأخطاء الطبية الذي سوف فحص الحالة بالتعاون مع مسؤول طبي مؤهل. سوف يقوم المحامي بفحص ما إذا كان المسؤولون الطبيون المسؤولون عن صحة الشخص، كما هو الحال في دار رعاية المسنين، أو دار رعاية المسنين، وما إلى ذلك، قد تصرفوا بشكل معقول وصحيح من أجل رعاية صحتك أو صحة أحبائك، وما إذا كان وصلت قوات الإنقاذ في وقت معقول لتقديم العلاج السريع والفعال في الوقت المحدد. إذا تبين أن الخطأ الطبي قد حدث، يمكنك رفع دعوى الأخطاء الطبية في المحكمة.

الاخطاء الطبية - احتشاء الدماغ الذي تسبب في الشلل

 

أسئلة وأجوبة

  1. ما هو الخطأ الطبي الذي أدى إلى احتشاء الدماغ الذي أدى إلى الشلل؟

يتجلى الخطأ الطبي في احتشاء دماغي تسبب في الشلل في طريقتين رئيسيتين: هل تلقى المريض معلومات وأدوية لمنع تكوين جلطات دموية يمكن أن تسبب احتشاء دماغي، وهل تم تشخيصه بسرعة، وكان الرد عليه معقولا وسريعة ومهنية وصحيحة. عندما يكون الشخص في حالة احتشاء دماغي، ستظهر عليه أعراض السكتة الدماغية التي تشمل الصداع الحاد، والارتباك، والارتباك، والضعف في أحد جانبي الجسم، والوعي الضبابي والإغماء. إذا كنت تخشى أن تكون أنت أو أحد أحبائك قد وصلت إلى حالة الشلل بسبب خطأ طبي أو احتشاء دماغي، فاتصل بمتخصص مثل المحامي لفحص الأمر.

  1. ما هو الاحتشاء الدماغي وما علاقته بالسكتة الدماغية؟

الاحتشاء الدماغي هو حالة تقوم فيها جلطة دموية بسد الأوعية الدموية التي تغذي خلايا الدماغ، مما يؤدي إلى تجويعها وقتلها بسبب نقص الأكسجين. في هذه الحالة، سوف تحدث السكتة الدماغية. أعراض احتشاء الدماغ هي في الواقع أعراض السكتة الدماغية. من المهم جدًا معرفة أعراض السكتة الدماغية، لأنه حتى الحدث الخفيف نسبيًا قد يتحول إلى حدث متجدد مع أضرار أسوأ تدريجيًا، ويكرر نفسه خلال فترة زمنية قصيرة ويعرض حياة الشخص للخطر. إذا رأيت شخصاً يعاني من هذه الأعراض، عليك الاتصال بقوات الإنقاذ فوراً.

3.لماذا يمكن أن يؤدي احتشاء الدماغ إلى إصابة الشخص بالشلل؟

الاحتشاء الدماغي هو حالة تتوقف فيها خلايا الدماغ عن تلقي إمدادات الأكسجين بسبب انسداد الأوعية الدموية بسبب جلطة دموية. في هذه الحالة، ما بين أربع إلى ست دقائق كافية لإحداث ضرر لا يمكن إصلاحه لخلايا دماغ الشخص. في هذه الحالة، سيتعرض الشخص لسكتة دماغية، والتي قد تكون شديدة أيضًا وتسبب نزيفًا دماغيًا واسع النطاق. ومن النتائج المحزنة لسكتة دماغية حادة حدوث ضرر لا يمكن إصلاحه في أجزاء مختلفة من دماغه مما أدى إلى إصابته بالشلل في نصف جسده.

  1. متى تعتبر حالة الشلل الناتج عن احتشاء دماغي خطأ طبي؟

يحدث الشلل في نصف الجسم نتيجة احتشاء الدماغ الذي تسبب في السكتة الدماغية. عندما يكون الضرر في النصف الأيسر من الكرة الأرضية، فإن الجانب الأيمن من الجسم سوف يصاب بالشلل، وعندما يحدث الضرر في النصف الأيمن من الكرة الأرضية، فإن الضرر سوف يحدث في الجانب الأيسر من الجسم. قد تتسبب هذه الحالة في فشل الشخص في أنشطة ADL وإيصاله فعليًا إلى حالة التمريض أو ما قبل التمريض وحرمانه من استقلاليته ووظائفه السابقة. ويتجلى الإهمال في عدم منع السكتة الدماغية من المريض من خلال العلاج الدوائي وإدارة نمط حياة صحي، أو في عدم التعرف على حالة احتشاء الدماغ في الوقت المناسب ومنع الاستجابة السريعة.

للحصول على استشارة قانونية مهنية من محامي مختص بالممارسات الطبية من مكتب المحاماة يشار يعقوبي، اتصل على: 6914004‑03.

بحاجة إلى استشارة قانونية؟ اتركوا التفاصيل وسنعود إليكم في أقرب وقت

ماذا تعلّمنا؟